top of page


Brasil 🇧🇷
Doutor(a):
Priscila Rodrigues
Unesp- 2006
Especialista Ortodontia Fapes- 2011
Credenciamento Invisalign - 2018
NYU- TeamOne 2019
Sede da Align - Costa Rica 2019
Alinhadores SELF- 2022
SPEAKER E MENTORA SELF- 2022
Mestrado Profissional ICT-UNESP- 2023
KOL Angel Aligner - 2024
Presidente do ALIGNER CONGRESS- 2024
Vice- Presidente do ALIGNER CONGRESS- 2025
SÃO BERNARDO DO CAMPO
-
SP
Paciente:
Caso
Gênero:
Masculino
Idade:
17
anos
Opção de Produto:
SELF COMPLETE
Grau de complexidade:
SIMPLES
Condição clínica:
CLASSE I, DIASTEMA, ARCO ATRÉSICO
Protocolo de troca:
10 DIAS
SETUP INICIAL
Alinhadores Sup:
31
Alinhadores Inf:
20
REFINAMENTO 1:
Alinhadores Sup:
0
Alinhadores Inf:
0
INICIAL
FINAL
Vista anterior

.jpg)
.jpg)
Vista direita

.jpg)
.jpg)
Vista esquerda

.jpg)
.jpg)
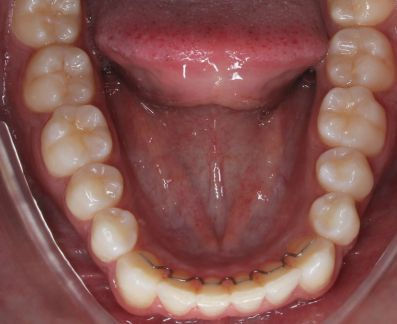
Arco inferior



Radiografia Panorâmica
.jpg)
.jpg)
Radiografia Cefalograma Lateral
.jpg)
.jpg)
Queixa principal do paciente:
Fechar os diastemas.
Resultados alcançados:
Expansão para ampliação do corredor bucal e fechamento de diastemas.
Comentários:
Não há comentários
bottom of page


.jpg)
